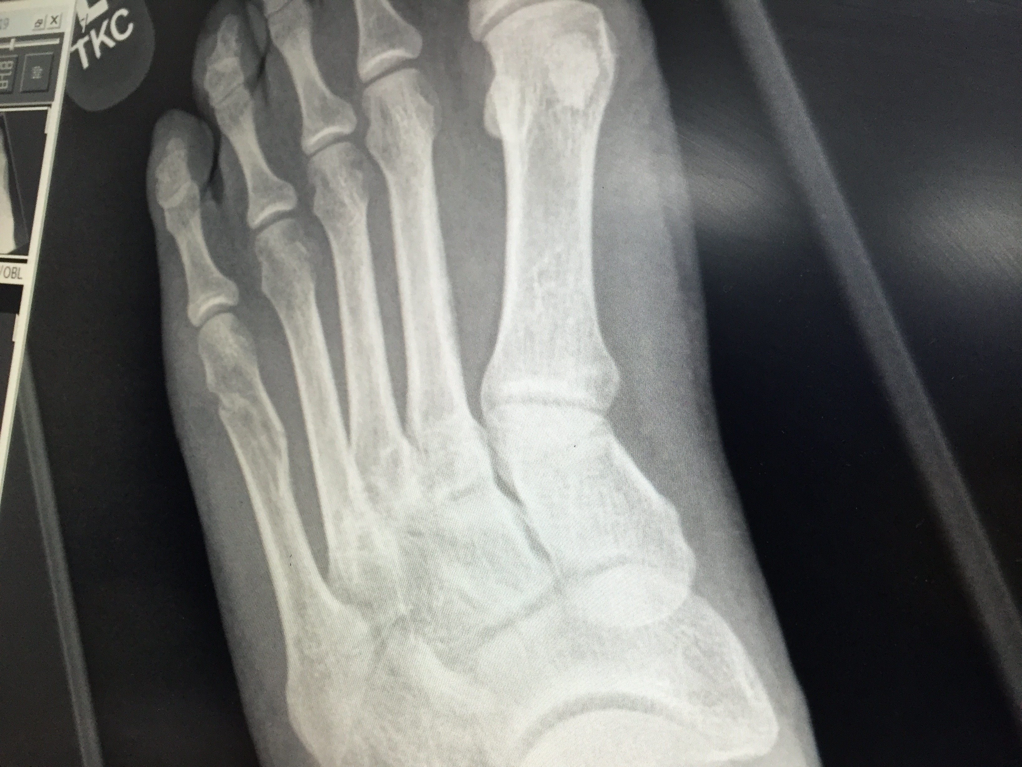
IMG_1475 (1) Published May 26, 2016 at 3264 × 2448 in Breaking my 5th Metatarsal Bone – Spiral Fracture How my bone has healed after 7 weeks